HOSPITAL VITHAS SEVILLA ALJARAFE
En caso de tener dudas contacte mediante e-mail: arsg@arsgvascular.es
SI TIENE PROBLEMAS PARA CONTACTAR CON CITAS EN VITHAS LLAME AL
954454025
EN HORARIO DE CONSULTA
MARTES Y MIÉRCOLES TARDE Y JUEVES MAÑANA
ANGIOLOGIA Y CIRUGIA VASCULAR
Es una especialidad Médico Quirúrgica dedicada al estudio, diagnóstico y tratamiento de las enfermedades circulatorias.
- ARTERIALES.
- VENOSAS
- LINFÁTICAS

ARTERIALES
- CLAUDICACIÓN INTERMITENTE
- ANEURISMAS.
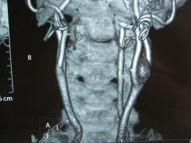
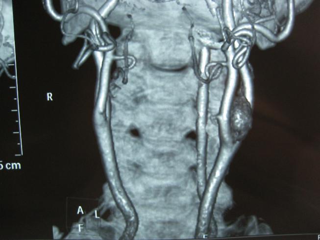
- ISQUEMIA CEREBRO-VASCULAR
- QUEMODECTOMAS.
- PIE DIABÉTICO
VENOSAS Y LINFÁTICAS
- VARICES.
- TROMBOSIS VENOSAS.
- VARICULAS ESTÉTICAS.
- ULCERAS.
- SINDROME POSTFLEBITICO.
- LINFEDEMAS
NUESTROS CENTROS DE TRABAJO
Hospital VITHAS NISA Aljarafe
Av Plácido Fernández Viagas, Castilleja de la Cuesta, 41950, Sevilla
SI HAY PROBLEMAS PARA PEDIR CITA LLAMAR AL
954464025
(TELEFONO DIRECTO DE LA CONSULTA)
EN HORARIO DE CONSULTA MARTES Y MIÉRCOLES POR LA TARDE Y JUEVES POR LA MAÑANA
Centro Médico VITHAS NERVIÓN
Avda. Ramón y Cajal, 8, 41018 Sevilla
Teléfono: 95440600
Hospital Infanta Luisa Triana
Condes de Bustillo, 6-8 41010 Sevilla
Telefono: 954330100














